EVO视讯集团

鼻炎模型

栏目:鼻炎模型 发布时间:2024-07-02
过敏性鼻炎小鼠模型

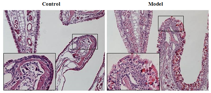
过敏性鼻炎是由IgE介导的发生在鼻黏膜的Ⅰ型变态反应性疾病,以鼻痒、喷嚏、鼻分泌亢进、鼻黏膜肿胀为主要特点,是临床常见病、多发病。既往文献过敏性鼻炎造模的动物以啮齿类为主,包括豚鼠、大鼠、小鼠等,卵清蛋白(Ovalbumin,OVA)是最常用的过敏原。

 

实验动物信息

动物模型名称

过敏性鼻炎鼠模型

动物的种属、品系

BALB/c

动物性别

动物年龄

成年

动物体重

20~25g左右

观察指标 

鼻部症状评分:依据鼻痒、喷嚏、流涕轻重程度、次数、出现的时间等作为评分标准过敏性鼻炎模型中IL-4、IL-5、IL6、IL13分泌增多,并抑制IFN-γ的产生。

部分结果展示

 


上一篇: 缺血性脑梗模型
下一篇: 哮喘模型